ストレートネック

こんなツラい症状でお悩みではありませんか?
- 首のコリがなかなか治らない
- 病院でストレートネックと診断された
- 首を動かすと首が痛い、つっぱる
- 首のコリによる頭痛で毎日悩んでいる
- 頭が前に出ていて背中が丸まり、姿勢が悪い
- 病院や整骨院に通ったがなかなか改善されない
- デスクワークが長く、仕事をしていると首が痛くなる
そのツラい症状、一度ご相談ください。
とんとん整骨院は
ストレートネックの改善に自信があります!
なぜ、とんとん整骨院の施術は
こんなにもストレートネックが改善されるのか?

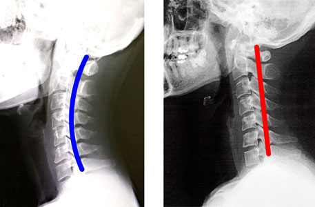
ストレートネックとは?
ストレートネックとはその名の通り、首の骨「頚椎」がまっすぐな状態になってしまっていることを言います。
本来であれば、頚椎は緩やかなアーチ状になっており、それによって頭の重さを支えたり、背骨全体の湾曲を作ることで適切な姿勢を保っています。
しかし、長時間のスマホ使用によって下を向いている時間が長かったり、デスクワークが長く顔を前に突き出した姿勢を長時間続けてしまうことで、本来のアーチが失われてしまい、まっすぐになってしまうのです。
体を横から見ると、頭が肩よりも前に出た状態になっており、顔が突き出たような姿勢になっているのが特徴です。
スマホの長時間使用で生じることが多いことから「スマホ首」と呼ばれることもあります。
ストレートネックの「本当の原因」
前述したように、ストレートネックの原因は
「長時間のスマホ使用/デスクワーク」
が考えられますが、それによってまっすぐになってしまった頚椎を治すためには、首の治療だけでは足りません。
首よりも、大きな問題は別にあります。
それは
「肋骨の歪み」
です。
悪い姿勢が長時間続くと肋骨全体の動きが悪くなり、人によっては歪みが起きていることもあります。
そしてそのまま、元に戻らずに固まってしまうのです。
肋骨は、背骨と連結して「胸郭」を作っていますので、肋骨の異常は背骨の異常に繋がります。
①悪い姿勢の継続
↓
②肋骨の硬さ・歪み
↓
③胸椎の湾曲が強くなる
↓
④バランスを取るため頚椎がまっすぐになる
↓
⑤ストレートネック

肋骨の動きや歪みを正確に見極めることが、ストレートネックの改善には非常に重要なのです。
なぜ、あなたのストレートネックは改善しなかったのか?

皆さんの中にも、首の痛みや首肩まわりのつらいコリが気になって、整形外科や接骨院へ行き、「ストレートネック」と診断された方もいらっしゃると思います。
そしてその後、
- 首周りのマッサージ
- 首周りの電気治療
- 首の牽引
- 痛み止めと湿布
このような治療を継続された方も多いのではないでしょうか?
ストレートネックの原因は首にはないのに、首ばかり治療していても、スムーズな改善はなかなか見込めません。
一時的にその場では良くなった気がするかもしれませんが、それはあくまでその場しのぎ。あくまで対症療法なのです。
根本的な解決にならないどころか、首の関節や筋肉にどんどん刺激を入れることで、最悪の場合、実は治療そのもののせいで痛みが長引いている患者さんも多くいらっしゃいます。
ストレートネックとなっている「首」そのものに対する治療はたしかに必要です。ですが、その原因となっている「姿勢」や「肋骨」に対する治療をしっかりと行うことが、根本的な改善へと繋がります。
ストレートネックの改善方法
肋骨への施術で根本改善!

とんとん整骨院では、世界的に行われている膨大な量の研究をもとに「エビデンスに基づいた」施術を行っています。
そのため悪化のリスクもなく、長年治らないと苦しんでいたストレートネックに対し、しっかりと結果を出すことができるのです。
とんとん整骨院の施術の特徴は
特徴1 ストレートネックの原因を見極める知識と技術
私たちは施術の方法そのものだけでなく、どの施術が適切かを見極めるための、症状の原因を見極めるための「評価」を非常に重要視しています。
どんなに良い施術も、誤って使われれば十分な結果は出ません。
施術の前に、症状の原因を見極めるための知識と技術が必要なのです。
とんとん整骨院の施術者は全員、世界中の最新の研究結果に基づいたストレートネックのメカニズムや評価の方法、様々な原因に対するストレートネックへの施術を合計120時間以上かけて習得します。
ストレートネックの原因は前述した
- 長時間のデスクワーク
- 長時間のスマホ使用
- それによる肋骨の硬さ・歪み
それ以外にも重要な要素として
- 首のインナーマッスルの弱化
- 背中の筋肉の弱化
- 腹筋の肩さ
- 肩甲骨の位置異常
- 反り腰
- 股関節の硬さ
など、多岐にわたります。
とんとん整骨院ではそれを時間をかけ、何がストレートネックの本当の原因になっているのか、 なにが症状の本当の原因になっているのかを見つけ出します。
特徴2 歪んだ肋骨を正確に矯正

とんとんの肋骨矯正は「完全に無痛」です。肋骨の位置を正しくするのに、強い力は全く必要ありません。
「あ~、伸びてる~、気持ちい~。」
という感覚のみです。
矯正する前に、ご自身の上半身の感覚をよく覚えておいてください。前のめりになった頭、前に出ている肩、背筋を伸ばしてもすぐに猫背になってしまう背中、座っているときの上半身の安定感・・・
矯正直後、ベッドの上に座った瞬間、その違いをすぐに実感できます。
しっかり体の上に乗った頭の位置、自然と引いた肩、ただ座っているだけなのにまっすぐな背中、そしてなにより、驚くほどの爽快感。
今まで歪んでいた肋骨がキレイに整うことで、症状の改善だけでなく、姿勢の改善まで期待できる矯正方法です。
特徴3 “ストレートネック改善専用”エクササイズ

実はストレートネックには
「ストレートネックを改善させるため”だけ”に存在する特別なエクササイズ」
があります。
このエクササイズは
・ストレートネックにより硬くなっている筋肉を伸ばす
・ストレートネックにより弱くなってしまっている筋肉を鍛える
という、重要な2つのことを同時に実現することができます。
さらに
・首の正しい動きを再学習
することができ、よくある『施術したときはいいけど、すぐに戻ってしまう』ようなことを防ぐことができます。
このように、ストレートネックの治療は
- ①ストレートネックの原因に対する治療
- ②ストレートネックそのものに対する治療
これを組み合わせることにより、最大限の結果を出すことができるのです。
まずは実際の整体施術と
その変化をご覧ください
たった1回の整体で
あなたの身体が変わります
当院の独自整体施術は、痛みの根本原因を特定し、優しいタッピング手技で血液循環を改善。
多くの患者さんが初回から「姿勢が整った」「身体が軽くなった」と実感されています。
- ピンポイントで狙い撃ち
- 1回で目に見える変化
- 根本改善で効果が持続






まだまだあります!
患者様からのお喜びの声
毎日辛かった頭痛が全くなくなり、元気になった気がします!

- 1.今までどんな症状でお悩みでしたか?
- 頭痛と首の痛み
- 2.その症状のせいで、どのようにお困りでしたか?
- 毎日頭痛で辛かったです。
- 3.今の状態は、一番お辛いころと比べていかがですか?
- 全く頭痛はなくなりました。
- 4.症状がラクになって、生活はどのように変わりましたか?
- 元気になった気がします。
- 5.もっと身体が良くなったら、なにかしたいことはありますか?
- ダイエット(笑)
- 6.とんとんで治療するメリットはどんなところでしょうか?
- 症状が出ないようにしてくれる。
肩こりや腰痛が良くなってきて、悩むことが少なくなりました

- 1.今までどんな症状でお悩みでしたか?
- 肩こりや腰痛
- 2.その症状のせいで、どのようにお困りでしたか?
- 頭痛になる。腰痛から眠りが浅い。
- 3.今の状態は、一番お辛いころと比べていかがですか?
- 良くなってきている。
- 4.症状がラクになって、生活はどのように変わりましたか?
- 悩むことが少なくなった。
- 5.もっと身体が良くなったら、なにかしたいことはありますか?
- 運動
- 6.とんとんで治療するメリットはどんなところでしょうか?
- 自分でできるストレッチなどを教えてくれる。
肩・首が痛くなくなり、仕事がラクに。趣味の時間が増えました

- 1.今までどんな症状でお悩みでしたか?
- 肩、首が痛い。
- 2.その症状のせいで、どのようにお困りでしたか?
- パソコンを長く使っていると痛くなる。腕が前に伸ばせない。
- 3.今の状態は、一番お辛いころと比べていかがですか?
- 痛くなくなった!
- 4.症状がラクになって、生活はどのように変わりましたか?
- 仕事が楽になる。趣味の時間が増える。
- 5.もっと身体が良くなったら、なにかしたいことはありますか?
- 特別ないです。
- 6.とんとんで治療するメリットはどんなところでしょうか?
- 悪くなる理由を知れるため、自分で予防できたり気を付けることが出来る。
辛かった首肩コリの改善で、仕事に集中できるようになりました

- 1.今までどんな症状でお悩みでしたか?
- 首、肩こりが辛く、生活に支障が出ていた。
- 2.その症状のせいで、どのようにお困りでしたか?
- 首で血が頭に回らない感じがして頭が回らなかった。
- 3.今の状態は、一番お辛いころと比べていかがですか?
- 5分の2くらい
- 4.症状がラクになって、生活はどのように変わりましたか?
- 睡眠が改善された。仕事に集中出来るようになった。
- 5.もっと身体が良くなったら、なにかしたいことはありますか?
- 運動力を上げてもっとアクティブに生活したい。
- 6.とんとんで治療するメリットはどんなところでしょうか?
- 細かく今の身体の状態を説明してくれる。スケジュールを立ててくれる。
首と肩が以前より軽く、動きがラクになりました!

- 1.今までどんな症状でお悩みでしたか?
- 首、肩
- 2.その症状のせいで、どのようにお困りでしたか?
- 首が動く、肩が凝ってしまう。
- 3.今の状態は、一番お辛いころと比べていかがですか?
- 楽になった。
- 4.症状がラクになって、生活はどのように変わりましたか?
- 首と肩が以前より軽く、動きが楽になった。
- 6.とんとんで治療するメリットはどんなところでしょうか?
- 月一回のメンテナンスと、症状をしっかり聞いて改善して頂けること。
他では絶対にマネできない
とんとんの絶対的な強み

どこに行っても治らないあなたへ
結果を出すための7つの答え
「その場しのぎの施術」や「原因不明のままの通院」に、もう時間も費用も無駄にしないでください。
プロの治療家を指導する確かな知識と技術を持つとんとん整骨院は、「必ず結果を出す」ことに徹底的にこだわります。長引く痛みや再発を断ち切り、最短で根本改善へ導くために確立した、他の院とは全く違う7つの施術原則がここにあります。
この7つの強みこそが、あなたが本気で身体を変えるための最後の答えです。
-
1
身体についての膨大な知識量
とんとんの整体施術者は皆、「解剖学」「機能解剖学」「運動生理学」その他、体を治すための大量の知識を持っています。
「国家資格者」ですら知らない、大学・海外の研究データや150以上の医学書に裏付けされた知識は本物です。
-
2
特殊な検査による症状の原因の明確化
整形外科や整骨院、治療院で「とりあえず痛み止め」「とりあえず湿布」「とりあえずベッドへ」「全て骨盤の歪みが原因」そんなことはありませんでしたか?
とんとんは整体施術前に必ず、痛みの原因を見極めます。
-
3
完治までの過程を明確に見える化
「じゃあ、また痛くなったら来てください」「とりあえずまた明日来てください」と言われたことがある方は要注意!!
「いや、なにも言われなかったけど」という方はさらに要注意!!
とんとんは初回整体施術時に、「完治までの道筋を明確に提示」致します!
さらに「治療計画書」をお渡ししますので、どんな治療を受けたのか、身体の状態はどうだったのか、一目で分かります!
-
4
究極の完全オーダーメード整体施術
詳細な検査を行うことで、その方の本当の症状の原因が見えてきます。
「解剖学」「機能解剖学」「運動生理学」を熟知したとんとん独自の「原因を見極める検査方法」で「究極の完全オーダーメイド整体施術」を実現することができました!
これで「今のあなたの症状」をピンポイントで改善する整体施術を行うことが可能になるのです。
-
5
痛みを根本から改善
検査法、完治までの治療計画、完全オーダーメイド整体施術の実現により、他の院では決して真似することのできない「本当の根本治療」が確立されています。
2年間で6万3069件の整体施術実績を残した、当院の代表、瀬谷崎の治療技術は伊達ではありません。
-
6
1回の整体施術効果が高く完治までの期間が短い
とんとんの整体施術は、痛みや症状の改善に高い即効性があることはもちろんのこと、症状の根本原因に直接アプローチするので最短期間での完治が見込めます。
「一時的な緩和を目的とした整体施術を繰り返し、ズルズルと一生通うはめになる」ようなことは絶対にいたしませんのでご安心ください。ちゃんと完治させてしまいましょう。
-
7
その結果、整体施術総額が安くなる
ぜひ考えてみてください…
とんとんの施術は、痛みや症状の改善に高い即効性があることはもちろんのこと、症状の根本原因に直接アプローチするので最短期間での完治が見込めます。
「一時的な緩和を目的とした施術を繰り返し、ズルズルと一生通うはめになる」ようなことは絶対にいたしませんのでご安心ください。ちゃんと完治させてしまいましょう。 -
7+1
一生モノの「再発しない身体」へ
どれだけ整体で痛みを根本から取り去っても、普段の生活習慣や姿勢のクセによって、痛みは簡単に再発してしまいます。
とんとん整体院の考える「根本改善」とは、施術効果を持続させ、再発を徹底的に防ぐところまで含まれます。
私たちは、一時的な痛みの除去で満足しません。もう二度と痛みに悩まされない「一生モノの健康」を手に入れていただくまで、万全の体制でサポートし続けます。
厚い支持を頂いております
信頼を裏付ける
「プロからの推薦」
とんとん整骨院の技術は、来院される患者様だけでなく、全国で活躍されている同業の有名な先生方からも、その効果と実績を認められ、厚いご支持をいただいております。

痛みのことなら「とんとん」へ!
瀬谷崎先生は、患者さんの「痛み」に真剣に向き合い、患者さんに寄り添い、人の事を想う強い気持ちから考え抜かれた理論と技術(瀬谷崎メソッド)で、あなたの「痛み」を取り除いてくれるでしょう。
瀬谷崎メソッドは今までの治療業界には無かった画期的な技術で、これまで10年間私が教育してきた治療家の中でも一番の治療家です。
ぜひ、「瀬谷崎メソッド」ご体感あれっ!
効果効能を保証するものではありません

瀬谷崎先生は、専門学校時代の教え子です。
当時から痛みを治すことや痛みの原因を追求することに真剣に取り組んでいました。
患者様に対する情熱や信念は人一倍強いと感じます。その強い思いが患者様と二人三脚で、未来を創り出すという現実を作っていきます。
痛みを治すだけではなく、痛みの原因を根底から治す、「真の患者医療の追求」を重ねた瀬谷崎先生の治療をぜひお薦めします!
効果効能を保証するものではありません

職業柄、多くの整骨院と関わってきましたが、こんなにも全ての過程において患者様の立場に立って治療を行う院は業界初だと思います。
『診断がひとりひとりに向き合い的確、治療は丁寧で無駄がなく』何より『抜群の効果!』なのです。お体の悩みを抱えて、このホームページをご覧になられているなら、迷わず『とんとん整骨院』へ行かれることを強くお勧めします。
先生方の最高の笑顔で身体だけではなく心まで軽くなる、そんな治療院です。
効果効能を保証するものではありません
東武練馬店・ときわ台店・下板橋店・南浦和店
とんとん整骨院の施術の流れ
- STEP.1 受付
-
初めてご来店頂いたお客様には、整体施術前に問診票へのご記入をお願いしております。
スムーズに整体施術を行うため、そして整体施術への不安を取り除いていただくためでもございます。ご不明な点やご要望がございましたら、ご記入ください。
- STEP.2 問診
-
お客様の気になる症状に合わせて整体施術を行うために、問診票を元に状態を把握していきます。
お客様のご要望に合った整体施術を行うため、些細なことでも構いませんので、気になる点などございましたらご相談ください。
- STEP.3 検査
-
触診・視診等により、現在の症状を確認させていただきます。
全身の姿勢や筋肉・関節の状態を把握し、原因をつきとめていきます。
- STEP.4 説明
-
今のお身体の状態を分かりやすくご説明します。
症状の原因についてはもちろん、今後のベストな治療計画も合わせてご提案させていただきます。
- STEP.5 整体施術
-
問診、検査によって明確になった痛みの原因に対し、患者様一人一人に合わせたオーダーメイドな整体施術を行います。

- STEP.6 整体施術後の説明
-
整体施術後は、お客様に身体の変化を感じていただき、患者様のお身体がどのように変化したか、そしてどのように改善したかご説明いたします。

- STEP.7 次回ご予約・お会計
-
次回のご予約を確認させていただき、お会計となります。
次回に向けて、お身体の状態をしっかりと把握したうえで、最適なご予約日時を確認させていただきます。
お会計後も、疑問点や不安な点がございましたら、どうぞお気軽にご相談ください。
- STEP.8 お大事に!
-
大変お疲れ様でした。もし、ご不安な点や疑問点がございましたら、いつでもお気軽にご相談ください。
あなたが笑顔で「卒業」される日まで、全力でサポートし続けることをお約束します。
次回のご来院を、心よりお待ちしております!




















ストレートネックの痛みで仕事も辛く行かれなったが、軽い登山ならいかれるようになりました!
生活全般に支障があった痛みを感じずに、日々が過ごせて快適になりました!
辛さを感じることが大きく減り、仕事や勉強に集中できるようになりました!
猫背や首肩のコリが良くなって、リフレッシュして仕事に臨めています
ストレートネックとヘルニアで動きに制限があったのに、体を動かしやすくなりました!
突然動かなくなった首がラクになり、行動範囲が広がりました。
仕事に集中できないことが多かったけど、PC作業もラクになりました!
腰痛がとんとんに通っているうちにラクになったので、ストレートネックでも通う事にしました!
腰痛とストレートネックの症状があり、最初は腰痛だけで通ってました。立ち仕事で腰にくる仕事だったのですが、通っていると腰痛がかなりなくなってきました。
現在は座ってする仕事になり、仕事で腰痛になることは減ってきました。姿勢が悪いので腰痛になりやすいのかと思い、ストレートネックも受けることにしました。
ストレートネックの方はもっと時間が必要だと思うので、続けたいと思います。